Sağlık Rehberi
Doktor kontrolünde, PubMed destekli sağlık bilgisi(444 makale)

Toksoplazma Testi Nedir?
Yeni Doğanda Toksoplazma (Toksoplazmozis) Enfeksiyonu Etken Toksoplazma gondii (T.gondii) adında bir parazittir. Esas konağı kedi olan bir parazittir...

Doğum Çeşitleri
Doğum Çeşitleri Normal Doğum Ağrısız Doğum Sezeryan Doğum Zor Doğum Makat Doğum Vakumla Doğum Suni Doğum

Ağrısız Doğum Nasıl Yapılır?
Ağrısız Doğum (Doğumda Analjezi Ve Anestezi) Doğum ağrılarının anne tarafından hissedilmemesini sağlamak analjezi (ağrı kesme) işlemleri ile olur....

Divertikül Nedir?
Divertikül, Divertikülozis Nedir? Kalın bağırsak gibi içi boş organlarda organın içini döşeyen tabakanın dış tabakalardaki zayıf noktalardan dışarı...

Diş Rengi Beyazlatma
Dişlerdeki Renk Değişiklikleri Dişlerdeki renk değişikliklerinin nedenleri çeşitlidir. A- Diş Kökenli Renklenmeler: Dişin dış yüzeyinde lokalize...

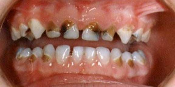
Diş Çürüğü Başlangıcı
DİŞ Çürükleri Diş çürüğü; Ağız ortamında bulunan bakterilerin şekerli yapılan (karbohidratları) parçalaması sonucu ortaya çıkan asitlerin diş...

Dişlerimiz ve Ağız Sağlığı
Dişlerimiz ve Ağız Sağlığı Dişler süt dişleri (dentes decidue) ve daimi dişler (dentes permanentes) olmak üzere iki gruptur. Süt dişleri bebek...

Dispepsi (Sindirim Güçlüğü)
Dispepsi (Sindirim Güçlüğü, Hazımsızlık) Karnın üst ve orta bölümünde tekrar edici ve ısrarcı rahatsızlık hissi olarak tanımlanır. Yaş Her yaşta...

Dikkat Eksikliği (Hiperaktivite)
Dikkat Eksikliği (Hiperaktivite) Bozukluğu Çocukluk döneminde görülen dikkat eksikliği (hiperaktivite) bozukluğunun geçmiş yıllarda kendiliğinden...

Pişik Tedavisi
Diaper Dermatit (Pişik) Nedir? Bez dermatiti (derinin tahriş olması), pişik olarak da bilinir. Yaş: Özellikle bez giyilen süt çocuğu döneminde ve 2...

Dev Hücreli Arterit – Polimyaljia Romatica
Dev Hücreli Arterit Hastalığı ve Polimyaljia Romatica Hastalığı Dev hücreli arterit; 50 yaş üzerindeki bireylerde görülen büyük ve orta çaplı arter...
Depresyon Belirtileri
Depresyon Nedir? Depresyon veya çökkünlük üzüntülü, mutsuz veya kederli hissetmek olarak tanımlanabilir. Çoğu insan zaman zaman böyle hissedebilir....